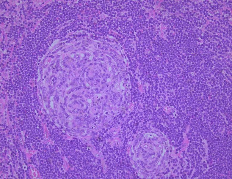
Castleman Disease
Castleman Disease (CD) is a term that describes three immune system disorders that display similar lymph node changes when assessed under a microscope.1
Idiopathic Multicentric Castleman Disease
Idiopathic multicentric Castleman disease (iMCD) is the most common of the three main types of CD. iMCD is a rare and devastating disease with a poor prognosis.1
A diagnosis of Castleman Disease (CD) / idiopathic Multicentric Castleman Disease (iMCD) requires close collaboration between treating clinicians and pathology services. This website is designed to ease your navigation, according to where your interest lies, within the diagnostic process. If your interest is more general, please select the appropriate option from further down this page (or in the menu bar above).
Abbreviations: CD, Castleman Disease; iMCD, idiopathic
Multicentric
Castleman
Disease.
References: 1. Fajgenbaum DC, et al. Blood. 2017; 129: 1646–57.
- Diagnostic journey
Clinician
Managing a patient with 2+ enlarged lymph nodes and no clear diagnosis / a suspicion of CD / iMCD?
Lymph node biopsy (excisional) sent for pathology evaluation
Pathologist
Received a lymph node biopsy that needs evaluating for CD / iMCD?
Report shared by pathology services confirming presence of histopathological features consistent with CD / iMCD spectrum
Clinician
Received a pathology report confirming CD / iMCD features and need to conclude the diagnostic process?
